Opaker – Enamel Plus HRi Tender Opaker
W stomatologii estetycznej jednym z kluczowych wyzwań klinicznych jest kontrola koloru odbudowy kompozytowej w sytuacjach, gdy podłoże zaburza odbiór barwy. Dotyczy to zwłaszcza przypadków silnych przebarwień zęba oraz sytuacji, w których na skutek uszkodzenia pracy ceramicznej dochodzi do ekspozycji elementów metalowych.
W takich wskazaniach standardowe kompozyty zębinowe często okazują się niewystarczające. Rozwiązaniem jest opaker do odbudowy zębów przebarwionych – materiał o wysokiej nieprzezierności, który neutralizuje tło i przygotowuje bazę pod dalszą rekonstrukcję warstwową.
– rozwiązanie przeznaczone do maskowania mocno przebarwionych tkanek zęba oraz elementów metalicznych.
Czym jest opaker i kiedy ma zastosowanie kliniczne?
Opaker to światłoutwardzalny materiał kompozytowy o wysokiej nieprzezierności, stosowany jako warstwa bazowa w odbudowie estetycznej. Jego głównym zadaniem jest odizolowanie koloru podłoża przed aplikacją właściwych warstw kompozytu zębinowego i szkliwnego.
Z klinicznego punktu widzenia opaker umożliwia:
- kontrolę barwy już na etapie pierwszej warstwy,
- bardziej przewidywalny efekt końcowy odbudowy,
- zachowanie miejsca na dalszą rekonstrukcję warstwową (bez nadmiernego pogrubiania).
Dlatego opaker nie zastępuje kompozytu zębinowego – pełni rolę materiału funkcjonalnego, który przygotowuje podłoże pod estetyczną odbudowę.
Wskazania: kiedy stosować opaker w stomatologii estetycznej?
Zastosowanie opakera jest szczególnie uzasadnione w sytuacjach takich jak:
- odsłonięcie elementów metalowych po uszkodzeniu korony lub licówki ceramicznej,
- konieczność estetycznej naprawy pracy ceramicznej kompozytem,
- obecność intensywnych przebarwień podłoża, które mogłyby przenikać przez warstwy kompozytu,
- potrzeba kontroli koloru w odbudowie warstwowej bez nadmiernego pogrubiania rekonstrukcji.
W praktyce klinicznej są to dokładnie te przypadki, w których pojawia się pytanie:
czym zamaskować przebarwienia pod kompozytem albo jak zamaskować metal po uszkodzeniu pracy ceramicznej.
Dla kogo może być to rozwiązanie?
zarówno przy mocnych przebarwieniach, jak i przy obecności odsłoniętych elementów metalicznych (np. po uszkodzeniu ceramiki).
Enamel Plus HRi Tender Opaker – opaker do odbudów estetycznych
🛒 Enamel Plus HRi Tender Opaker 3 g
to opaker kompozytowy zaprojektowany z myślą o precyzyjnych odbudowach estetycznych oraz naprawach prac protetycznych. Materiał znajduje zastosowanie jako opaker do maskowania przebarwień zęba oraz opaker do maskowania odsłoniętych elementów metalowych.
Najważniejsze cechy kliniczne materiału
- wysoka zdolność krycia trudnego podłoża,
- cienkowarstwowy opaker do odbudowy zębów (skuteczność już w minimalnej grubości),
- uniwersalny zakres odcieni A2–A3,
- płynna, kontrolowana konsystencja ułatwiająca precyzyjną aplikację,
- kompatybilność z systemem Enamel Plus HRi.
Kluczowa przewaga: cienka warstwa opakera a estetyka odbudowy
Jedną z najistotniejszych cech klinicznych materiału jest to, że opaker wystarcza już w jednej bardzo cienkiej warstwie.
Ma to bezpośrednie znaczenie praktyczne:
- pozwala nie tracić miejsca na warstwy kompozytu,
- umożliwia precyzyjne modelowanie anatomii,
- ogranicza ryzyko nadkonturu odbudowy,
- ułatwia kontrolę koloru w kolejnych etapach pracy.
W codziennej praktyce oznacza to, że nie trzeba wybierać pomiędzy skutecznym maskowaniem a estetyką – obie te funkcje pozostają zachowane.
Opaker a kompozyt zębinowy – różnice kliniczne
Warto podkreślić, że:
- opaker nie jest alternatywą dla kompozytu zębinowego,
- nie służy do odbudowy objętościowej,
- jego rolą jest neutralizacja koloru podłoża i przygotowanie bazy pod warstwowanie.
Stosowanie opakera zamiast klasycznego kompozytu zębinowego w trudnych przypadkach kolorystycznych pozwala uniknąć kompromisów estetycznych i zwiększa przewidywalność efektu końcowego.
Zamów produkt
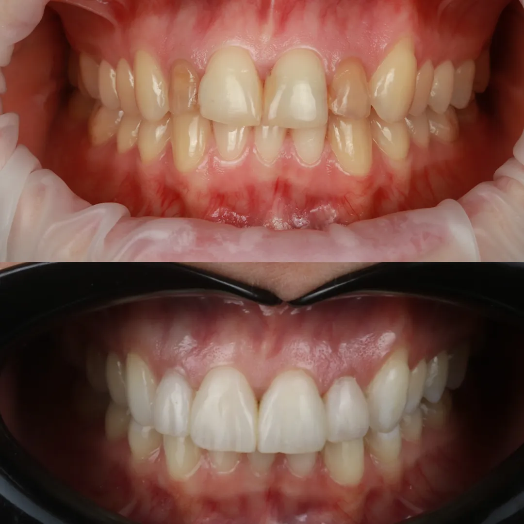
Przypadek kliniczny – dokumentacja zdjęciowa
Poniżej przedstawiono dokumentację zdjęciową przypadku. Zdjęcia mają charakter poglądowy i prezentują efekt finalny oraz porównania „przed i po”. Ostateczny rezultat zależy od indywidualnych warunków klinicznych oraz przyjętej techniki pracy.
Autor prac: lek. dent. Michał Sroka
Przebarwienia po leczeniu kanałowym potrafią mocno zaburzyć estetykę — tutaj kluczowe było skuteczne maskowanie i później warstwowanie.
Maskowanie przebarwień w 1.1 i 2.2 wykonano z użyciem opakera ENA Tender.
Materiał zapewnia bardzo dobre krycie przy minimalnej grubości warstwy, a odcień A2–A3 ułatwia uzyskanie przewidywalnej, harmonijnej barwy odbudowy.
Przed rozpoczęciem odbudowy oceniono stopień przebarwienia oraz wpływ tła na odbiór koloru. W takich przypadkach nawet poprawnie dobrana zębina może „szarzeć” lub tracić nasycenie, jeśli podłoże nie zostanie najpierw odcięte warstwą bazową o wysokiej nieprzezierności.
Postępowanie zaplanowano tak, aby zachować maksymalnie cienką warstwę maskującą i jednocześnie zostawić miejsce na warstwowanie anatomii oraz optyki. Dzięki temu możliwe było uzyskanie naturalnej głębi i uniknięcie efektu „płaskiej” odbudowy.
Kluczowe etapy pracy:
- kontrola pola zabiegowego i przygotowanie powierzchni pod adhezję,
- aplikacja opakera ENA Tender w bardzo cienkiej, kontrolowanej warstwie,
- odbudowa warstwowa tak, aby przywrócić naturalną estetykę zębów.
Odbudowę estetyczną po wykonaniu maskowania zaplanowano w technice warstwowej, tak aby odtworzyć naturalną głębię i przejścia optyczne. Zastosowano następujące materiały:
- BF2 – szkliwo od strony podniebiennej,
- UD2, UD1, UD0 – zębina aplikowana warstwowo,
- UE2 – szkliwo od strony wargowej.
Dzięki właściwemu odcięciu tła już na etapie bazowym efekt końcowy jest spójny kolorystycznie i bardziej przewidywalny, a odbudowy nie tracą naturalności mimo trudnych warunków wyjściowych.



FAQ – najczęstsze pytania
Do czego służy opaker do zębów przebarwionych?
Opaker to materiał kompozytowy o wysokiej nieprzezierności, stosowany jako cienka warstwa bazowa do odcięcia koloru podłoża (np. silnych przebarwień) i poprawy kontroli barwy podczas dalszego warstwowania.
Czy Enamel Plus HRi Tender Opaker 3 g jest przeznaczony do maskowania elementów metalicznych?
Zgodnie z przeznaczeniem produktu,
Enamel Plus HRi Tender Opaker 3 g
może być wykorzystywany w przypadkach, w których występują odsłonięte elementy metaliczne w podłożu (np. po uszkodzeniu pracy ceramicznej).
Jaki odcień ma opaker?
Producent podaje uniwersalny zakres odcieni zębiny A2–A3.
Jakie jest opakowanie produktu?
Produkt jest dostępny w opakowaniu 3 g. Termin przydatności wynosi 4 lata.
Podsumowanie
Enamel Plus HRi Tender Opaker to opaker do odbudów estetycznych o wysokiej sile krycia, szczególnie przydatny tam, gdzie:
standardowe kompozyty nie zapewniają wystarczającej kontroli koloru, występują przebarwienia lub odsłonięte elementy metaliczne, a potrzebna jest cienka, precyzyjna warstwa bazowa.
Szczegóły i zamówienie:

